06 martie 2019

Prin programul derulat de Academia de Ştiinţe Medicale, Spitalul Judeţean de Urgenţă Buzău a fost dotat cu un angiograf pentru cercetare și diagnosticare a pacienților cu afecțiuni cardiace ischemice. Pentru derularea proiectului au fost necesare două etape de achiziții respectiv aparatul și ulterior consumabilele aferente diagnosticării și intervențiilor care urmau să fie făcute pe pacienți.
Ec. Claudiu Damian: „O mare provocare a fost găsirea unui medic intervenționist care să vină şi să fie angajat la Spitalul Județean sau să accepte o colaborare. După luni de căutări şi încercări soluția a venit de la medicul buzoian Florin Matei, fiul dr. Ilie Matei (medic primar Medicină Internă cu competenţă în Cardiologie, care a profesat mulți ani în cadrul secției de Medicină Internă şi Cardiologie a Spitalului Judeţean de Urgenţă Buzău).”
Alături de dr. Florin Matei - medic cardiolog intervenţionist, s-au alăturat și ceilalți medici din secția de cardiologie dr. Raluca Năstase - medic specialist cardiolog şi şef Secţie Cardiologie, dr. Adrian Răducan - medic specialist cardiolog şi dr. Gabriel Nicolai - medic specialist cardiolog (înscris la cursul de Competență Cardiologie Intervențională), ajutați de asistenţi medicali, au realizat această procedură coronariană pacienţilor, toate intervențiile fiind efectuate cu succes.
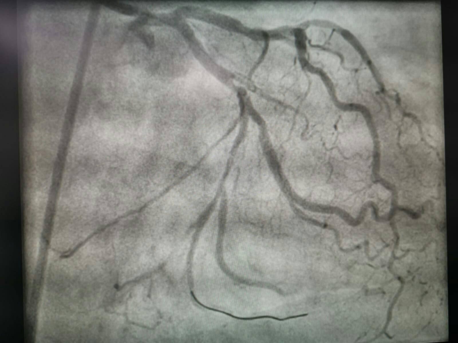
În data de 27.02.2019, la Spitalul Judeţean de Urgenţă Buzău a avut loc prima intervenţie efectuată pe angiograful spitalului – coronarografie diagnostică la un pacient în vârstă de 63 de ani, din municipiul Buzău, pacient diagnosticat cu factori de risc cardiovascular (diabet de tip II, HTA, dislipidemie), cu boală cardiacă ischemică (modificări EKG) şi angină pectorală instabilă. S-a efectuat angioplastie coronariană percutană, cu implantarea a două stenturi farmacologic active. După intervenţie, pacientul a fost transportat în Unitatea de Terapie Intensivă Coronariană a secţiei de Cardiologie, unde a fost monitorizat până la externare.
În zilele de 05 şi 06.03.2019, alţi patru pacienţi, cu vârste cuprinse între 55 și 75 de ani, din județul Buzău, au fost internaţi în spital, în Secţia Cardiologie, cu sindrom coronarian acut (infarct miocardic fără supradenivelare de segment ST, angină instabilă) şi au fost supuşi unor intervenţii coronariene.
Ec. Claudiu Damian: „Ne bucurăm că astfel de proceduri de diagnostic ale leziunilor coronariene şi revascularizarea acestora se pot efectua la Spitalul Judeţean de Urgenţă Buzău. Astfel, vom putea veni în sprijinul pacienţilor cu boală cardiacă ischemică, pacienți care, până la acest moment, erau trimişi în centre intervenţionale din Bucureşti sau Brașov.”





