02 februarie 2020

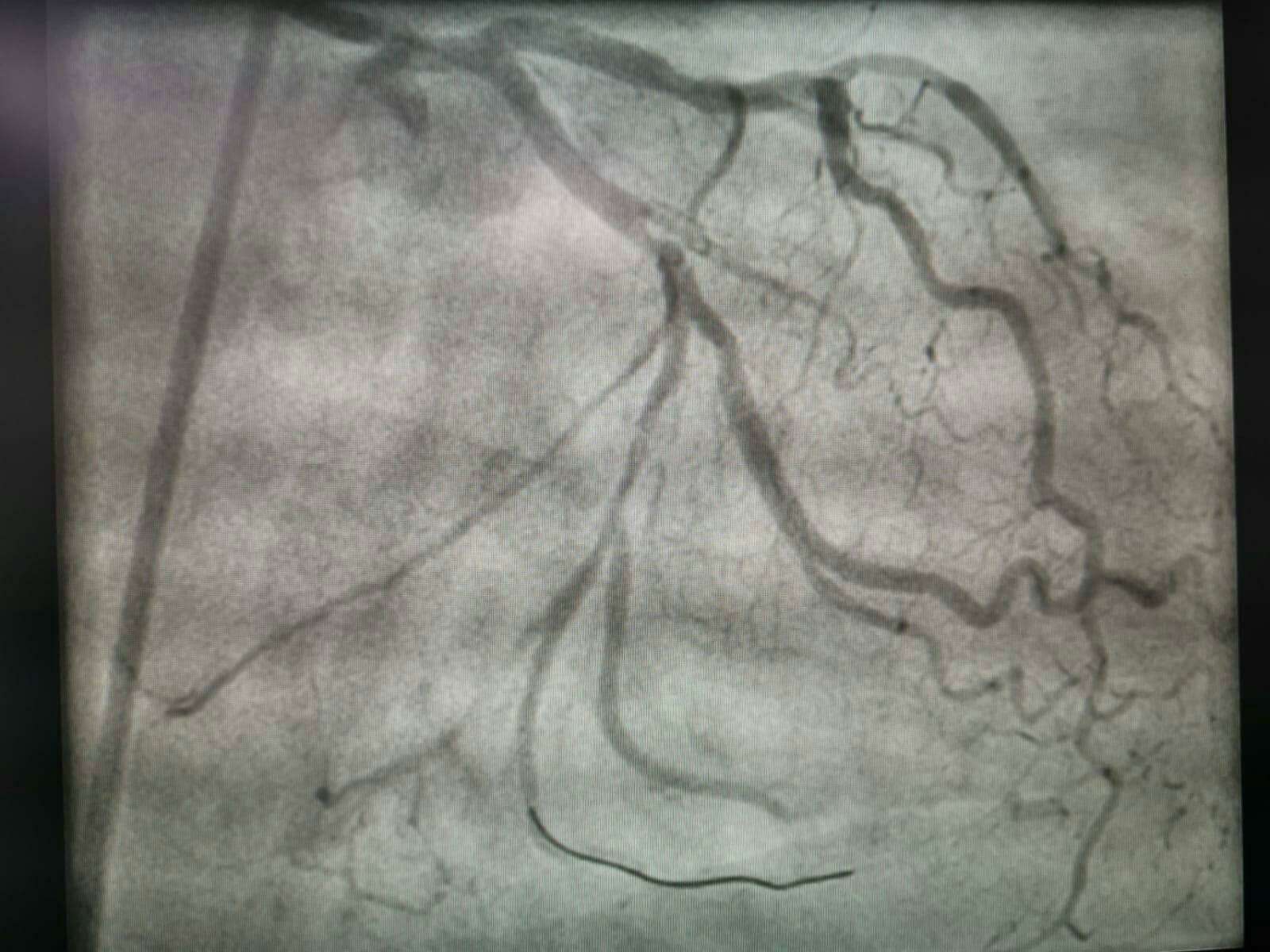
În anul 2019, în cadrul Compartimentului de Cardiologie Intervențională a Spitalului Județean de Urgență Buzău, au fost efectuate un număr de 163 de intervenții coronariene la pacienți cu afecțiuni cardiovasculare acute.
Aceste intervenții au fost realizate de către dr. Matei Florin Lucian, medic cardiolog intervenționist, împreună cu echipa medicală formată din dr. Nicolai Gabriel, medic specialist cardiolog, (care, la acest moment, se află în pregătire pentru atestare de studii complementare în Cardiologie Intervențională) și cu asistenți medicali (as. med. Tomescu Irina, as. med. Șuțu Angelica, as. med. Paraschiv Tanța și as. med. Airinei Florența).
În luna ianuarie a acestui an, 18 pacienți au beneficiat de aceste proceduri intervenționale, doi dintre aceștia - unul în vârstă de 49 de ani iar celălalt de 68 de ani - au fost diagnosticați cu boală arterială periferică și au beneficiat de procedura de angioplastie periferică percutană la nivelul membrelor inferioare.
Procedurile intervenționale au fost efectuate din fondurile asigurate de proiectul Academiei de Științe Medicale, precum și din fondurile proprii ale S.J.U. Buzău.
„De când și-a început activitatea Compartimentul de Cardiologie Intervențională, din cadrul Spitalului Județean de Urgență Buzău, adresabilitatea pacienților cu afecțiuni cardiovasculare acute a crescut, astfel că tot mai multe cazuri au fost rezolvate aici, la noi în spital, și acest lucru mă bucură foarte mult, iar în ceea ce privește pacienții, aceștia nu mai sunt nevoiți să se deplaseze la alte unități medicale. Pe această cale, doresc să mulțumesc echipei de cercetare din cadrul SJU Buzău, coordonată de dr. Matei Florin Lucian, pentru aceste rezultate deosebite pe care le-a avut pe parcursul anului 2019” a declarat Managerul Spitalului Județean de Urgență Buzău, ec. Claudiu Damian.
Compartiment Relații Publice,
Adriana Bunilă